TruthConnect News
culture /

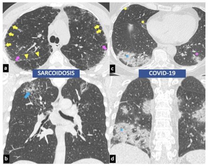
Can Covid trigger sarcoidosis?

Here, we present the first case of a patient developing pulmonary sarcoidosis one year after critical illness from COVID-19. He developed numerous non-necrotizing and well-formed granulomas in mediastinal lymph nodes and pulmonary nodules, compatible radiographically and pathologically with sarcoid.

Can I get the COVID-19 vaccine if I have sarcoidosis?


The available literature suggests that vaccines are safe and effective in patients with autoimmune disorders and in those taking immunosuppressive medications. We strongly recommend the administration of COVID-19 vaccines in patients with sarcoidosis.

Which organ system is most often affected by COVID-19?

COVID-19 is a disease caused by SARS-CoV-2 that can trigger what doctors call a respiratory tract infection. It can affect your upper respiratory tract (sinuses, nose, and throat) or lower respiratory tract (windpipe and lungs).

Can COVID-19 damage organs?


COVID-19 can cause lasting damage to multiple organs, including the lungs, heart, kidneys, liver and brain. SARS CoV-2 first affects the lungs through the nasal passages. When the lungs are severely affected, it can affect the heart.

What other illnesses are caused by coronaviruses?

Coronavirus is a family of viruses that can cause respiratory illnesses such as the common cold, severe acute respiratory syndrome (SARS) and Middle East respiratory syndrome (MERS).

Trigger Finger & Trigger Thumb - Everything You Need To Know - Dr. Nabil Ebraheim

Are there different types of coronaviruses other than COVID-19?

Coronaviruses didn't just pop up recently. They're a large family of viruses that have been around for a long time. Many of them can cause a variety of illnesses, from a mild cough to severe respiratory illnesses. The new (or “novel”) coronavirus that causes COVID-19 is one of several known to infect humans.

Can you contract COVID-19 through sexual intercourse?

Although there is currently no evidence that the COVID-19 virus transmits through semen or vaginal fluids, it has been detected in the semen of people recovering from COVID-19. We would thus recommend avoiding any close contact, especially very intimate contact like unprotected sex, with someone with active COVID-19 to minimize the risk of transmission

How long could the COVID-19 virus linger in your body?

But for most infected people, virus levels in the body peak between three and six days after the original infection, and the immune system clears the pathogen within 10 days. The virus shed after this period is generally not infectious.

How many times can I get COVID-19?

'A long-term pattern' According to some infectious disease researchers, Covid-19 reinfections are likely to become more common as time goes on and different variants continue to circulate—with some people potentially seeing third or fourth reinfections within a year.

When is the greatest risk of respiratory complications from COVID-19 for older patients?

While every patient is different, doctors say that days five through 10 of the illness are often the most worrisome time for respiratory complications of Covid-19, particularly for older patients and those with underlying conditions like high blood pressure, obesity or diabetes.

How does COVID-19 affect the heart and lungs?

SARS-CoV-2, the virus that causes COVID-19, most commonly affects the lungs but It can also lead to serious heart problems. Lung damage caused by the virus prevents oxygen from reaching the heart muscle, which in turn damages the heart tissue and prevents it from getting oxygen to other tissues.

How can severe COVID-19 affect the nervous system?


Some people with COVID-19 either initially have, or develop in the hospital, a dramatic state of confusion called delirium. Although rare, COVID-19 can cause seizures or major strokes. Muscular weakness, nerve injury, and pain syndromes are common in people who require intensive care during infections.

How COVID-19 infect the body?

A virus infects your body by entering healthy cells. There, the invader makes copies of itself and multiplies throughout your body.

The new coronavirus latches its spiky surface proteins to receptors on healthy cells, especially those in your lungs.

Should you get the Covid vaccine if you have an autoimmune disease?

The American College of Rheumatology COVID-19 Vaccine Clinical Guidance recommends that people with autoimmune and inflammatory rheumatic disease (which includes lupus) get the vaccine unless they have an allergy to an ingredient in the vaccine.

What are some exemptions from the COVID-19 vaccine?


Some people may be at risk for an adverse reaction because of an allergy to one of the vaccine components or a medical condition. This is referred to as a medical exemption. Some people may decline vaccination because of a sincerely held religious belief. This is referred to as a religious exemption.

Is there a COVID-19 vaccine for immunocompromised patients?


The Centers for Disease Control and Prevention, along with a number of professional societies, endorse SARS-CoV-2 vaccination for the immunocompromised population. Current Centers for Disease Control and Prevention guidelines also recommend a third dose of an mRNA vaccine for severely immunocompromised patients.

Can you still test positive after recovering from COVID-19?

According to the Centers for Disease Control and Prevention, some people who contract COVID-19 can have detectable virus for up to three months, but that doesn't mean they are contagious. When it comes to testing, however, the PCR tests are more likely to continue picking up the virus following infection.

How long does COVID-19 rebound last?

So far there have been no reports of severe illness in those who have experienced covid rebound, and most people seem to recover and stop testing positive around three days later without needing additional covid-19 treatment.

Can you still get COVID-19 after recovering from it?


Immunity is complicated and, yes, you can still get reinfected with COVID-19. In fact, a recent study found that unvaccinated adults were twice as likely to get reinfected with COVID-19 than those who got vaccinated after they'd recovered from their illness.

Is COVID-19 infectious after 7 days?

Most people with COVID-19 are no longer contagious 5 days after they first have symptoms and have been fever-free for at least three days.

How safe is intimacy with a partner during the COVID-19 pandemic?

If both of you are healthy and feeling well, are practicing social distancing and have had no known exposure to anyone with COVID-19, touching, hugging, kissing, and sex are more likely to be safe. Similarly, sharing a bed with a partner who is healthy should not be an issue.

Be aware, though, that the CDC reports that some people may have the virus and not yet have symptoms during the early part of the incubation period (presymptomatic). Additionally, some people never develop obvious symptoms of COVID-19 (asymptomatic). In either case, it’s possible that the virus might spread through physical contact and intimacy.

Is it safe to have sex during the COVID-19 pandemic?

If you or your partner isn't feeling well or think you might have COVID-19 , don't kiss or have sex with each other until you're both feeling better. Also, if you or your partner is at higher risk of serious illness with COVID-19 due to an existing chronic condition, you might want to avoid sex.

Can you contract COVID-19 from kissing?

Well, yes.
The virus that causes COVID-19 travels in saliva, so, sure, swapping spit with an infected person could transfer the virus to you.

What is the difference between SARS-CoV-2 and COVID-19?

In 2019, a new coronavirus was identified as the cause of a disease outbreak that originated in China. The virus is now known as the severe acute respiratory syndrome coronavirus 2 (SARS-CoV-2). The disease it causes is called coronavirus disease 2019 (COVID-19).

Will there be new variants of COVID-19?


Variants Are Expected. Some variants emerge and disappear while others persist. New variants will continue to emerge. CDC and other public health organizations monitor all variants of the virus that causes COVID-19 in the United States and globally.