TruthConnect News
culture /

What color are tumors on an ultrasound?

For example, most of the sound waves pass right through a fluid-filled cyst and send back very few or faint echoes, which makes them look black on the display screen. But the waves will bounce off a solid tumor, creating a pattern of echoes that the computer will show as a lighter-colored image.

What color does cancer show on ultrasound?

Cancerous tissue also shows up as white on a mammogram. Therefore it is sometimes hard to distinguish dense tissue from cancerous tissue. On an ultrasound cancerous tissue shows up black and dense tissue is still white, therefore cancers are easier to distinguish.

Can you see a tumor on an ultrasound?

The shape and intensity of ultrasound echoes can vary depending on the density of the tissue being evaluated. Because sound waves echo differently from fluid-filled cysts and solid masses, an ultrasound can reveal tumors that may be cancerous.

Does red on an ultrasound mean cancer?

Small biopsy-guiding ROI overlays indicating high and low suspicion of cancer in the same prostate gland. Red indicates the highest likelihood; green indicates the lowest likelihood. Colors are consistent with the actual subsequent biopsy results.

Is cancer dark on ultrasound?

Cancers are usually seen as masses that are slightly darker (“hypoechoic”) relative to the lighter gray fat or white (fibrous) breast tissue (Figs. 10, 11). Cysts are a benign (non-cancerous) finding often seen with ultrasound and are round or oval, black (“anechoic”), fluid-filled sacs (Fig. 12).

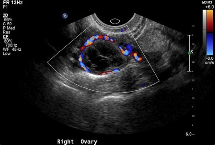
Recent Improvements in the Sonographic Detection of Ovarian Cancer

What does a dark mass on an ultrasound mean?

A hypoechoic mass looks dark gray on an ultrasound. That means the tissue is dense. It doesn't always mean that something is wrong.

What does red mean on an ultrasound?

By definition, flow towards the transducer is depicted in red while flow away from the transducer is shown in blue. Different shades of red and blue are used to display velocity. Lighter shades of color are assigned to higher velocities.

What color is a cyst on an ultrasound?

On ultrasound, they are usually smooth, round and black. Sometimes cysts do not have these typical features and they are difficult to distinguish from solid (non-fluid) lesions just by looking. These may need further testing to confirm they are cysts. Doctors sometimes describe these as “complex cysts”.

What is orange on ultrasound?

However, to evaluate the presence and direction of blood flow in the heart and vessels, color Doppler ultrasound has been used. Color Doppler displays blood flow in two basic colors. Red or Red-Orange displays blood flowing towards the top of the screen, and Blue displays flow towards the bottom of the screen.

What do red and blue colors mean on ultrasound?

Vessels in which blood is flowing are colored red for flow in one direction and blue for flow in the other, with a color scale that reflects the speed of the flow. Because different colors are used to designate the direction of blood flow, this Doppler technique simplifies interpretation of the ultrasound data.

What does yellow on an ultrasound mean?

A third color, usually green or yellow, is often used to denote areas of high flow turbulence. These colors are user-definable and may be reversed, however this is generally inadvisable as it may confuse later readers of the images.

How do you tell if a lump is a tumor?

If the lump has solid components, due to tissue rather than liquid or air, it could be either benign or malignant. However, the only way to confirm whether a cyst or tumor is cancerous is to have it biopsied by your doctor. This involves surgically removing some or all of the lump.

How does a cyst look on ultrasound?

For example, most waves pass through a fluid-filled cyst and send back very few or faint echoes, which look black on the display screen. On the other hand, waves will bounce off a solid tumor, creating a pattern of echoes that the computer will interpret as a lighter-colored image.

What do colors on an ultrasound mean?

Typically, red and blue colors are used to highlight the blood flow in one direction or the other regarding the probe's position. The speed of the blood flow is shown with a color scale. Usually, blood flow away from the probe is shown in blue, while blood flow toward the probe is red.

Can a radiologist tell if it is cancer?

While even the most advanced imaging technology doesn't allow radiologists to identify cancer with certainty, it does give them some strong clues about what deserves a closer look. Today we'll discuss a few things that radiologists are on the lookout for when examining mammography and breast ultrasound images.

How do you tell the difference between a cyst and a tumor?

Cysts can feel tender to the touch, and a person may be able to move one easily. Tumors can also grow almost anywhere in the body. They tend to grow quickly and are usually firm to the touch.

What does black mean on an ultrasound?

On sonography imaging liquids appear black because they are “anechoic”. It means that the ultrasound wave goes through them without emitting any return echo .

What does white mean on an ultrasound?

Unlike x-rays or CAT scans, ultrasound doesn't detect tissue density. Rather, it detects sonotransmission (the passage or reflection of sound). Highly dense tissues such as bone or kidney stones readily reflect echoes and, therefore, appear bright white on an ultrasound.

Do ultrasound techs know when something is wrong?

If your ultrasound is being performed by a technician, the technician most likely will not be allowed to tell you what the results mean. In that case, you will have to wait for your doctor to examine the images. Ultrasounds are used during pregnancy to measure the fetus and rule out or confirm suspected problems.

What do malignant ovarian cysts look like on ultrasound?

The most consistent sonographic signs of malignancy appears to be the presence of papillary excrescences > 3 mm along the internal wall of an ovarian mass and the presence of a solid component21.

What does lipoma look like on ultrasound?

CONCLUSION: The characteristic sonographic appearance of head and neck lipomas is that of an elliptical mass parallel to the skin surface that is hyperechoic relative to adjacent muscle and that contains linear echogenic lines at right angles to the ultrasound beam.

Why is my ovary black on ultrasound?

Monday 10 May 2021. Polycystic ovarian syndrome, commonly known as PCOS, is a complex hormonal disorder that causes cysts on a woman's ovaries. The cysts are eggs that have failed to properly mature, and on an ultrasound, they look like black dots on the ovaries.

How do you read an ultrasound picture?

To read an ultrasound picture, look for white spots on the image to see solid tissues, like bones, and dark spots on the image to see fluid-filled tissues, like the amniotic fluid in the uterus.

What does red and blue mean?

The red hue symbolizes valor, courage, enthusiasm, blood and life while the blue color indicates perseverance, justice, vigilance and respect for God. Mostly, its colors unite a vast span of citizens of the country toward one common goal.

What do arrows on ultrasound mean?

The arrow indicates an area of hypoechoic fluid in the context of the retrocalcaneal bursa.