TruthConnect News
culture /

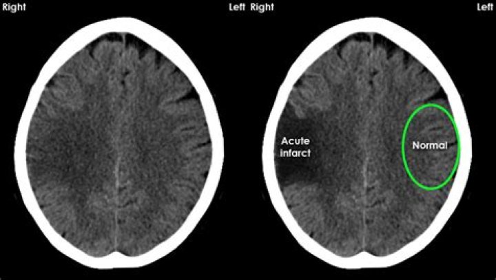
What does no acute findings mean on MRI?

Each radiologist classified patients into two groups: “no acute findings” and “acute findings”. An acute finding was defined as any CT abnormality explaining the symptoms and related to emergency findings. Incidental findings considered as not related to the patient's symptoms were not included in acute findings.

What does no acute abnormality mean in an MRI?

There was a 126 percent increase in a diagnosis of "no acute condition," meaning there was nothing critically wrong with the patient.

What does acute process mean?

Acute conditions are severe and sudden in onset. This could describe anything from a broken bone to an asthma attack.

What is the difference between findings and impression?

Findings – what was “found” out from the exam, listing each area of the body that was examined in the diagnostic imaging study. Oftentimes, the radiologist will use the word “unremarkable” if an area is normal. Impression – this is the radiologist's “impression” or diagnosis of the diagnostic imaging exam.

How do I read my MRI results?

MRI interpretation Systematic approach

  1. Start by checking the patient and image details.
  2. Look at all the available image planes.
  3. Compare the fat-sensitive with the water-sensitive images looking for abnormal signal.
  4. Correlate the MRI appearances with available previous imaging.
  5. Relate your findings to the clinical question.

How to deal with unknown findings on MRI

How long does it take a radiologist to read an MRI?

The swift transmission of diagnostic information is important to both patients and referring physicians. The results from an MRI scan are typically interpreted within 24 hours, and the scans themselves are usually given immediately to the patient on a disc after the MRI is complete.

Can a radiologist tell you results?

They are acquiring diagnostic images according to specific protocols, so that a radiologist (a medical doctor with many years of specialized education) can interpret the images to provide an accurate report of the findings and results of your study.

What does an impression mean on an MRI scan?

Impression. In this section, the radiologist summarizes the findings. The section lists your clinical history, symptoms, and reason for the exam. It will also give a diagnosis to explain what may be causing your problem. This section offers the most important information for decision-making.

What does an MRI report show?

The MRI scan is used to investigate or diagnose conditions that affect soft tissue, such as: Tumours, including cancer. Soft tissue injuries such as damaged ligaments. Joint injury or disease.

What do you look for in an MRI?

MRI can be used to detect brain tumors, traumatic brain injury, developmental anomalies, multiple sclerosis, stroke, dementia, infection, and the causes of headache.

What is an acute finding?

Acute diseases come on rapidly, and are accompanied by distinct symptoms that require urgent or short-term care, and get better once they are treated. For example, a broken bone that might result from a fall must be treated by a doctor and will heal in time.

What does acute mean in medical diagnosis?

General Definitions

Most illnesses can be categorized as acute or chronic. These terms can suggest the types of treatment required, how long treatment can be expected to last, and if treatment is appropriate. Acute. Symptoms develop quickly.

Does acute mean recent?

In medicine, describing a disease as acute denotes that it is of short duration and, as a corollary of that, of recent onset.

Is no news good news after MRI?

It's a generally held aphorism that “no news is good news”. In fact the opposite should hold when it comes to healthcare. If you have had a recent scan, blood test or other kind of medical investigation, the best policy to adopt is “no news is bad news”.

Does brain damage always show on MRI?

And the answer is if it's moderate or severe, most of the time it will show up on an MRI. If it's a mild brain injury, often it will not show up on an MRI.

What does no significant abnormality mean in medical terms?

“Literally, it means that there is a lot of human variation, and most of it is not clinically meaningful at all.” Occasionally, the definition of normal changes to accommodate new evidence.

Does an MRI show muscle damage?

An MRI will not show muscle strains or other problems with soft tissues. The pain usually will go away on its own, although it may take several months.

Why would a second MRI be needed?

In particular an MRI second opinion is particularly important for conditions where diagnosis demands a high level of radiology skill and when a mis-diagnosis may result in more invasive treatment or an irreversible treatment that may be unnecessary.

Can MRI without contrast detect brain tumor?

Cranial computed tomography (CT) and magnetic resonance imaging (MRI) with and without contrast media are widely used for primary diagnosis of brain tumors. Standard T1- and T2-weighted MRIs detect brain tumors with high sensitivity.

What does a radiologist report look like?

The radiology report is most often organized into 6 sections: type of exam, clinical information, comparison, technique, findings, impression. Let's take these one at a time. Type of exam. This shouldn't be too much of a challenge.

What does impression mean on medical report?

An impression is a clinical summation of information and/or an opinion formed, which is the outcome of the clinical assessment process. The Clinical Impression may lead to a statement of a Condition about a patient.

Can I get a copy of my MRI scan?

On the day of your appointment you can request a copy of your images and results with the staff in the MRI department or the staff at the Radiology front desk.

Why do I need a second MRI scan with contrast?

If the radiologist uses contrast during your MRI, the doctor generally won't require any additional scans because of the initial MRI's enhanced nature. A contrast MRI is superior at measuring and evaluating tumors.

Why would a neurologist order an MRI of the brain?

MRI is used to diagnose stroke, traumatic brain injury, brain and spinal cord tumors, inflammation, infection, vascular irregularities, brain damage associated with epilepsy, abnormally developed brain regions, and some neurodegenerative disorders.