TruthConnect News
future of media /

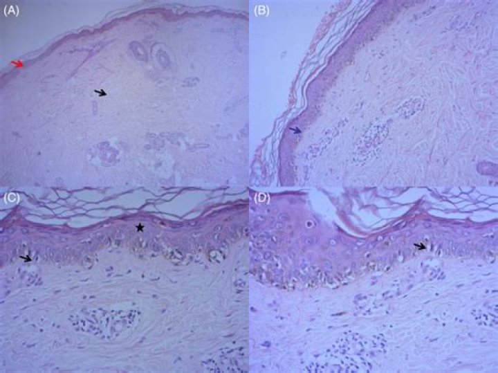
What is epidermal acanthosis?

Acanthosis. Acanthosis is a thickening of the epidermis and elongation of the rete ridges due to thickening of the spinous layer +/- enlargement of rete pegs. Typical examples include chronic eczematous reactions.

What acanthosis means?

: a benign overgrowth of the stratum spinosum of the skin.

What is acanthosis on biopsy?

Introduction. Acanthosis nigricans is a velvety, darkening of the skin that usually occurs in intertriginous areas. This hyperpigmentation has poorly defined borders, usually occurs in skin fold areas, such as the back of the neck, axilla, and groin, and may include thickening of the skin.

What is acanthosis in epithelium?

Acanthosis. ○ Downward elongated proliferation of narrow rete ridges that appear detached from epithelium.

What is epidermal acanthosis and papillomatosis?

Malignant acanthosis nigricans is a rare paraneoplastic skin syndrome mostly associated with gastric adenocarcinoma. Florid cutaneous papillomatosis and tripe palms syndrome are considered to be abortive clinical variants of acanthosis nigricans.

Acanthosis Nigricans - Risks, Pathogenesis and Treatments

What causes epidermal acanthosis?

Acanthosis nigricans skin patches occur when epidermal skin cells begin to reproduce rapidly. This atypical skin cell growth is most commonly triggered by high levels of insulin in the blood. In rare cases, the increase in skin cells may be caused by medications, cancer, or other medical conditions.

Does acanthosis nigricans mean I have diabetes?

Acanthosis nigricans can be a sign of prediabetes or diabetes. Talk to your provider so you can get the proper care. Acanthosis nigricans is a treatable skin condition that causes dark patches on your body. It is often (though not always) a sign of prediabetes or diabetes.

What is squamous mucosa with acanthosis?

Background/aims: Glycogenic acanthosis is described as benign thickening of the esophageal squamous epithelium of unknown etiology. Although its etiology is unknown, it has been reported that glycogenic acanthosis may be related to gastroesophageal reflux and hiatal hernia.

What causes irregular acanthosis?

Acanthosis nigricans is most commonly found in people of African descent and some cases are genetically inherited as an autosomal dominant trait. (Only one parent needs to have an abnormal gene in order for the child to inherit the disease.) The medically related factors of AN include diabetes.

What is the difference between hyperkeratosis and acanthosis?

If the process becomes chronic, the edema regresses, and the epidermis becomes hyperplastic as a response to the chronic insult. Epidermal hyperplasia is seen as a thickening of the epidermis and elongation of the rete ridges (called acanthosis), accompanied by ortho or para-hyperkeratosis.

How do you fix acanthosis?

There is no specific treatment for acanthosis nigricans. While some cosmetic treatments may help, the most effective approach is to treat any underlying disorder. Addressing an underlying condition may cause symptoms to fade in time.

How rare is malignant acanthosis?

Acanthosis nigricans was found in 18.2% of children and 19.5% of adults in a cross-sectional study (n=1730) in the United States. Those diagnosed with acanthosis nigricans were twice as likely to have type 2 diabetes than those without (35.4% vs. 17.6%). Rarely, there is a link with an internal malignancy.

How is acanthosis diagnosed?

Acanthosis nigricans can be detected during a skin exam. To be sure of the diagnosis, your health care provider might take a skin sample (biopsy) to look at under a microscope. Or you may need other tests to find out what's causing your symptoms.

What causes black neck?

Causes of black neck

The main causes of the black neck could be obesity and as well as high insulin levels. Some other causes of the black neck include cholesterol medicines, oral contraceptives, hormonal fluctuations and hypothyroidism.

What is regular acanthosis?

A nonspecific, histologically defined appearance that consists of regular elongation of rete ridges, suprapapillary thinning, mild spongiosis, telangiectasis of blood vessels in the papillary dermis and fusion of foot processes. Aetiology.

How do you treat a black neck?

Treatment options for black neck may include the following:

  1. exfoliation.
  2. prescription medications including salicylic acid, Retin-A, and alpha hydroxy acids, as well as oral acne medications.
  3. chemical peels.
  4. laser treatments.

What does acanthosis look like?

The main sign of acanthosis nigricans is dark, thick, velvety skin in body folds and creases. It often appears in the armpits, groin and back of the neck. It develops slowly. The affected skin might be itchy, have an odor and develop skin tags.

Does dark neck mean diabetes?

A dark patch (or band) of velvety skin on the back of your neck, armpit, groin, or elsewhere could mean that you have too much insulin in your blood. This is often a sign of prediabetes. The medical name for this skin condition is acanthosis nigricans.

What is acanthosis of the tongue?

2. Glycogenic acanthosis (GA) is a benign lesion characterised by small white raised plaques commonly detected in the lower third of the oesophagus. 3. On histology GA is composed of thickened squamous epithelium, with glycogen-rich keratinocytes. 4.

What do squamous cells do?

Squamous cells are the cells closest to your skin's surface, and their purpose is to line your skin. cSCC often develops in areas of the body that are frequently exposed to UV radiation, such as your face, hands, and ears.

What is acanthosis Parakeratosis?

Parakeratosis refers to pyknotic keratinocyte nuclei within the stratum corneum, where nuclei are not normally present. It is common to many diseases where there are changes within the epidermis, and is often accompanied by hyperkeratosis (1.61), hypogranulosis (1.63), and acanthosis (1.61).

Can you scrub acanthosis nigricans off?

Skin areas with acanthosis nigricans can look dirty, but they're not. Scrubbing the skin does not help and can irritate it. Gently clean the skin and don't use bleaches, skin scrubs, or over-the-counter exfoliating treatments.

Does losing weight help acanthosis nigricans?

Primary treatment of acanthosis nigricans aims to correct the underlying cause. Weight loss and reversing insulin resistance are the most effective ways to eliminate any skin changes.

Is acanthosis nigricans a fungus?

Acanthosis nigricans, commonly observed in obese, darkly pigmented individuals, characteristically presents as velvety hyperpigmentation of the intertriginous areas. Tinea versicolor is a superficial fungal infection of the skin caused by Malassezia yeast species.

What autoimmune diseases cause hyperpigmentation?

Lupus erythematosus (LE) is an autoimmune disorder commonly affecting the skin; cutaneous lesions may indicate systemic involvement, warranting further evaluation. Photosensitivity, which may result in hyperpigmentation, is a well-known feature of the disease.