TruthConnect News
science /

What is the lymphocyte count in leukemia?

A normal lymphocyte range for adults is anywhere between 1,000 and 4,800 cells in 1 microliter (μl) of blood. A diagnosis of chronic lymphocytic leukemia requires a lymphocyte level of greater than or equal to 5,000 B cells per μl for a minimum of 3 months.

Are lymphocytes high or low in leukemia?

The leukemia is often found when their doctor orders blood tests for some unrelated health problem or during a routine check-up and they are found to have a high number of lymphocytes. Even when people with CLL have symptoms, they're often vague and can be symptoms of other things.

What percent of lymphocytes indicates leukemia?

To be diagnosed with CLL, there must be at least 5,000 monoclonal lymphocytes (per mm3) in the blood. For it to be called SLL, the patient must have enlarged lymph nodes or an enlarged spleen with fewer than 5 ,000 lymphocytes (per mm3) in the blood.

Does leukemia cause low lymphocytes?

Leukopenia: Lymphocytic leukemias affect the white blood cells responsible for producing antibodies and warding off disease. A decrease in the functional lymphocytes may diminish the body's immune system. Symptoms of leukopenia may include reduced immunity, more frequent infections and fevers.

What is WBC count for leukemia?

At the time of diagnosis, patients can have very, very high white blood cell counts. Typically a healthy person has a white blood cell count of about 4,000-11,000. Patients with acute or even chronic leukemia may come in with a white blood cell count up into the 100,000-400,000 range.

Leukemia diagnosis | Hematologic System Diseases | NCLEX-RN | Khan Academy

What shows leukemia in CBC?

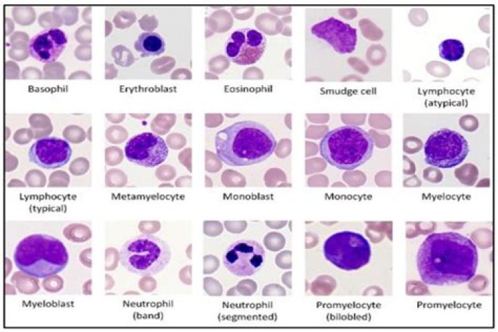
Leukemia is most often diagnosed through a diagnostic test called a complete blood count (CBC). If a patient's CBC shows abnormal levels of white blood cells or abnormally low red blood cells or platelets, he or she has leukemia. The physician will then order a bone marrow biopsy to determine the type of leukemia.

What is a high lymphocyte count?

For adults, a high lymphocyte count means more than 4,000 lymphocytes in 1 microliter of blood.

Is 1.1 a low lymphocyte count?

191024. Participants had their blood drawn and white blood cell counts measured as part of a physical examination. Researchers defined lymphopenia as a lymphocyte count below the 2.5th percentile (less than 1.1 × 109/L).

What is a normal lymphocyte count?

The normal lymphocyte count in adults is 1,000 to 4,800 cells per microliter of blood (mcL).

What is a normal lymphocyte percentage?

Normal Results

The different types of white blood cells are given as a percentage: Neutrophils: 40% to 60% Lymphocytes: 20% to 40% Monocytes: 2% to 8%

Is 70 percent lymphocytes high?

Normal lymphocyte percentage is between 20-40%. If you percentage is 56, that means you have lymphocytosis. Causes of lymphocytosis include: Acute viral infections, such as infectious mononucleosis (glandular fever), hepatitis and Cytomegalovirus infection. Other acute infections such as pertussis.

What level of lymphocytes is low?

Tests and diagnosis

A diagnosis of lymphocytopenia means that your blood lymphocyte count is below 1,500 cells/microliter. Infants and children have more lymphocytes; less than 3,000 cells/microliter is considered to be too low in this case.

What were your first signs of leukemia?

Early Symptoms of Leukemia

  • Fatigue.
  • Loss of appetite.
  • Bone/joint pain.
  • Headaches.
  • Fever, chills.
  • Unexplained weight loss.
  • Night sweats.
  • Abdominal discomfort.

Can WBC be normal with leukemia?

In leukemia, the WBCs do not function like normal WBCs. They can also divide too quickly and eventually crowd out normal cells.

How would you know if you had leukemia?

Common leukemia signs and symptoms include:

  1. Fever or chills.
  2. Persistent fatigue, weakness.
  3. Frequent or severe infections.
  4. Losing weight without trying.
  5. Swollen lymph nodes, enlarged liver or spleen.
  6. Easy bleeding or bruising.
  7. Recurrent nosebleeds.
  8. Tiny red spots in your skin (petechiae)

Is 44 lymphocytes normal?

Having too many or too few lymphocytes can be a sign of disease. The normal lymphocyte range in adults is between 1,000 and 4,800 lymphocytes in 1 microliter (µL) of blood. In children, the normal range is between 3,000 and 9,500 lymphocytes in 1 µL of blood.

Is 7% lymphocytes normal?

The lymphocytes count differs, for adults the normal lymphocytes range is between 1000 to 4800 lymphocytes per microliter of your blood. In children, it is between, 3000 to 9500 per microliter of blood.

What cancers cause low lymphocytes?

In some cases, blood cancer like Hodgkin's disease, aplastic anemia, autoimmune disease, and cancer treatment can cause decreased lymphocyte levels. Low lymphocyte count is often detected during routine blood tests.

Is 0.8 a low lymphocyte count?

Lymphocytopenia or a low lymphocyte count in the blood means: Mild lymphocytopenia (0.8 - 1 x 103/µl in adults): A mild lymphocytopenia is not a matter for concern. A mild lymphocytopenia is usually considered a benign condition if there is no symptoms.

Should I worry about low lymphocytes?

These cells help protect your body from infection. If you have low numbers of lymphocytes (lymphopenia), you are at higher risk of infection. Lymphopenia symptoms can range from mild to serious and are correlated to the severity of the lymphopenia as well as its duration.

Are lymphocytes high or low in lymphoma?

Two components of the inflammatory background are associated with survival in classical Hodgkin's lymphoma: tumor-infiltrating lymphocytes3,4 and a low lymphocyte count, which is defined by the IPS as less than 600 cells/μL or less than 8% of the white blood cell count and is a negative prognostic factor for survival ...

When should I worry about high lymphocytes?

You can have a higher than normal lymphocyte count but have few, if any, symptoms. It usually occurs after an illness and is harmless and temporary. But it might represent something more serious, such as a blood cancer or a chronic infection.

How is leukemia diagnosed?

A diagnosis of leukemia is usually made by analyzing a patient's blood sample through a complete blood count (CBC) or microscopic evaluation of the blood, or by using flow cytometry.

What labs are abnormal in leukemia?

How Is Leukemia Treated? Your doctor will conduct a complete blood count (CBC) to determine if you have leukemia. This test may reveal if you have leukemic cells. Abnormal levels of white blood cells and abnormally low red blood cell or platelet counts can also indicate leukemia.